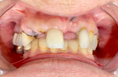
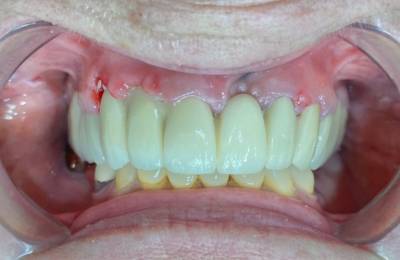
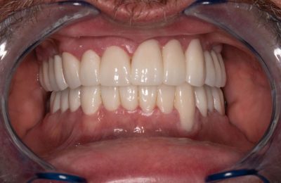
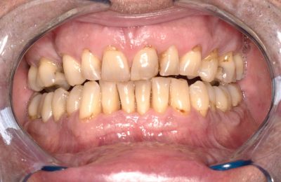
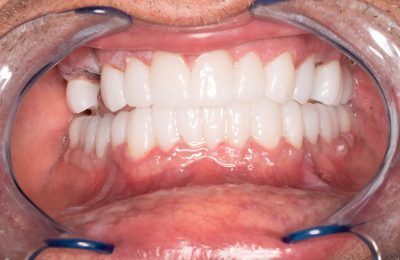
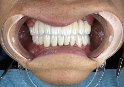
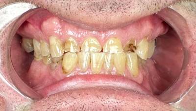
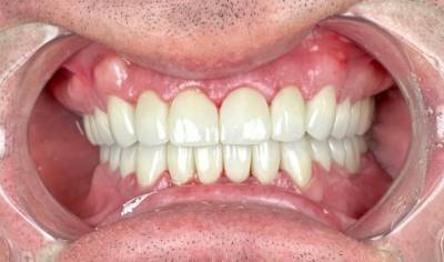
Before and After
























Our Treatments list
Dental Office Services
We provide free shuttle transportation to and from hotel/clinic airport/clinic in Yuma – Los Algodones. We strive to achieve 100% customer satisfaction. Circle Dental Group like to develop relationships with our clients. we focus on quality and Service.
Technology
Instructions at your arrival
Welcome to our Dental Clinic

Hello, I am Dr. Jorge Jiménez, the Head Doctor of this clinic, it is a pleasure to greet you and inform you that our dental clinic has more than 16 years of experience and has the best-trained doctors in the dental area, so they will offer you the best dental service in the region with the best technological equipment for treatments that we manage in our clinic, having the highest quality of hygiene in our facilities.






























